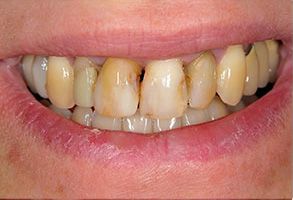
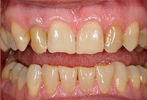
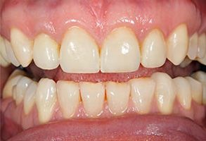
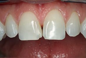
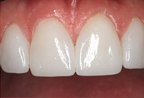
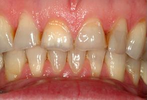
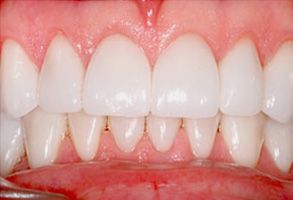
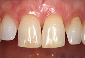
Creating Smiles that Last
At Florida Gardens Dental Center we are dedicated to creating lasting smiles through comprehensive care using the latest technology. We proudly offer personalized, patient-driven care focused on the health, beauty, and functionality of your teeth. Please browse our smile gallery below and contact us to schedule a smile consultation today.

















